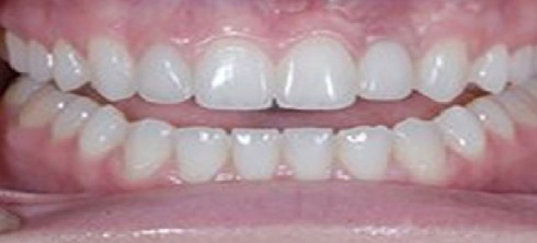
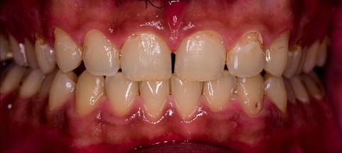
A 26-year-old female with severe crowding. Comprehensive orthodontic treatment was completed. Patients were amazed by the results.
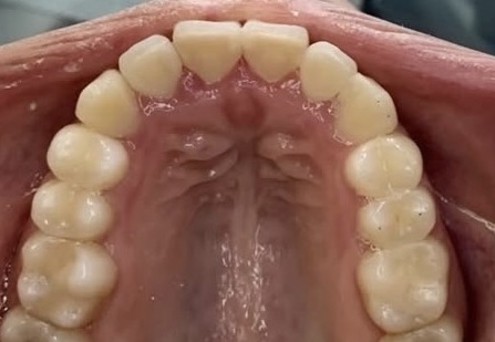
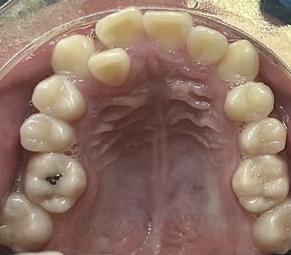
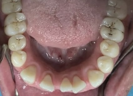
Crowding and constricted arch. Comprehensive orthodontic treatment was performed, and teeth alignment was restored.