• Monday – Thursday: 9:00am – 5:00pm
  • Friday – Sunday: Closed
English Spanish

Cosmetic Dentistry in Vancouver, WA

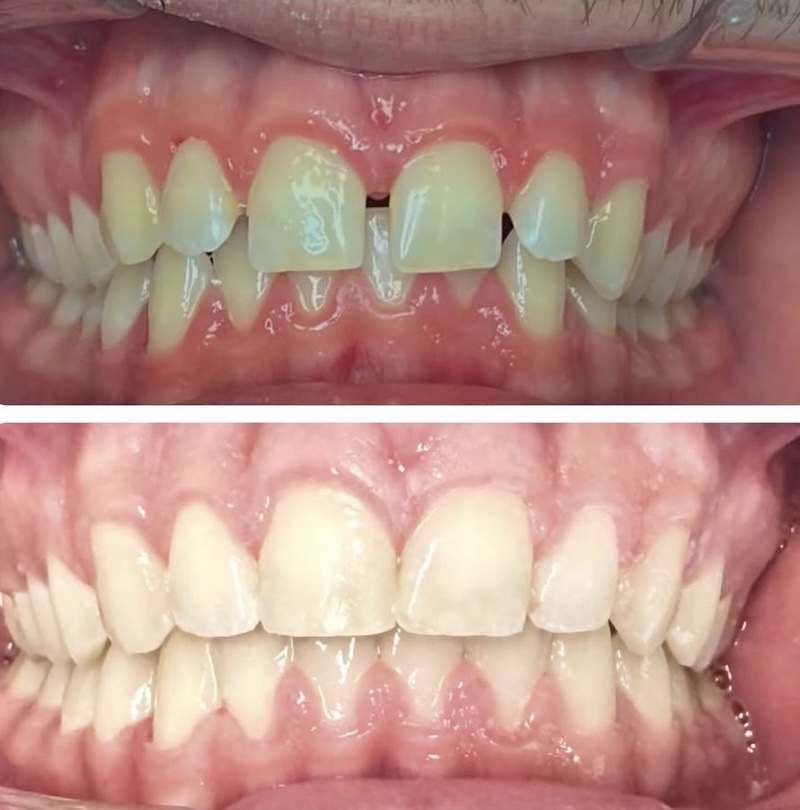
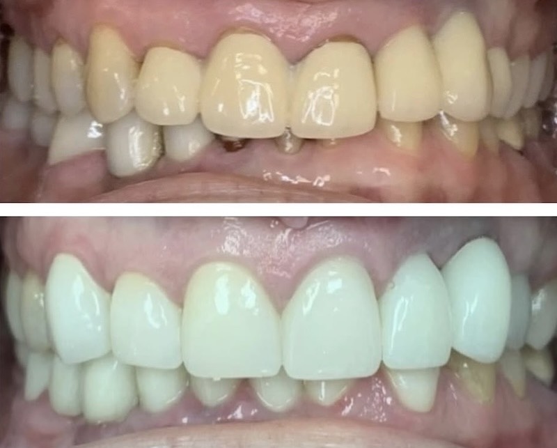
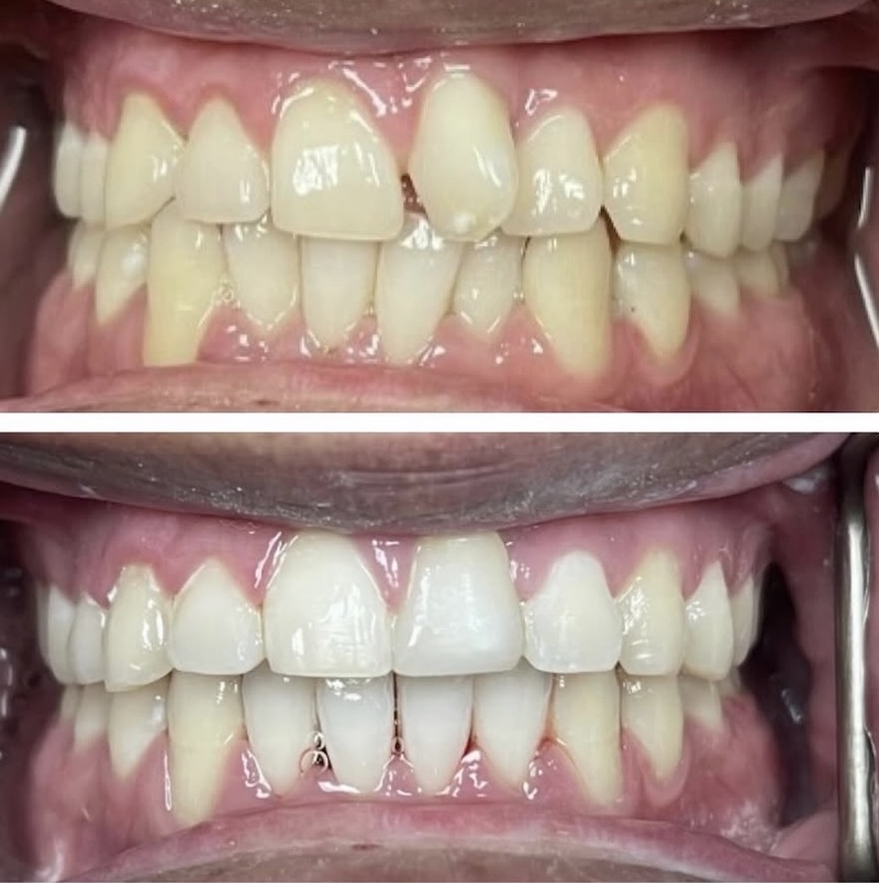
At Vancouver Dental Care we understand the importance of having a nice, confident smile. Our cosmetic dentists have extensive training and experience using state-of-the-art equipment and materials to give each patient beautiful results safely, efficiently, and effectively.

We also use advanced dental technology such as digital X-rays, intraoral cameras, and cosmetic imaging tools to identify and treat problems earlier while emphasizing preventative measures. Plus, our dentists are passionate about helping patients achieve their desired outcomes while adhering to safety protocols throughout every step of treatment.

This level of quality assurance is just another way we strive for excellence here at Vancouver Dental Care. Proudly offering individualized cosmetic procedures combined with superior customer service makes us stand out among other providers in the area, leaving you confident that your cosmetic dentistry needs are in safe hands at Vancouver Dental Care.

Request an Appointment