Full Mouth Rehabilitation & Smile Design
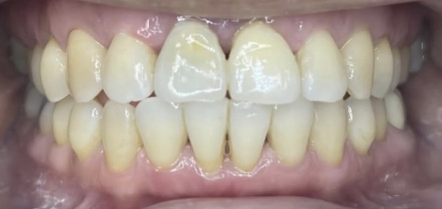
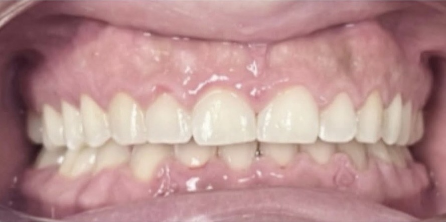
A 42-year-old female patient presented to our office with old bridge work, implants, and root canals. Her lower interior teeth were discolored, and she had a deep bite. We began the case by removing the bridges and then using braces to open her bite. Next, we placed single crowns on her teeth, which provided her with much better access to clean her teeth and floss. As a result, she now has the young, beautiful smile she deserves.
Teeth Whitening 4
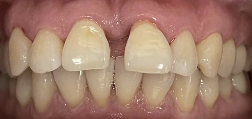
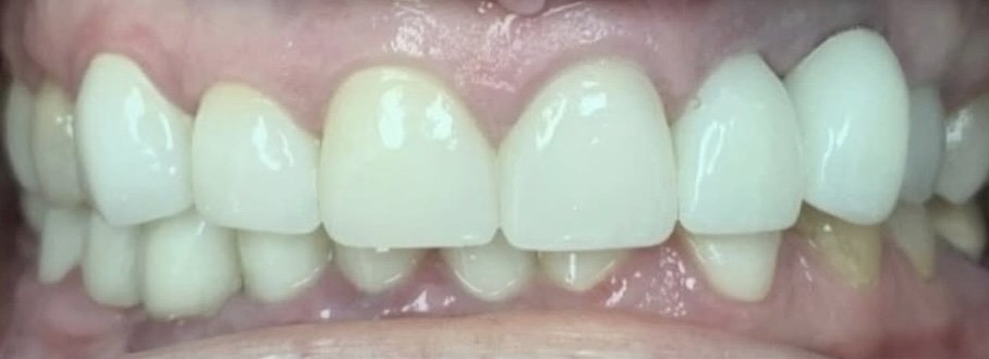
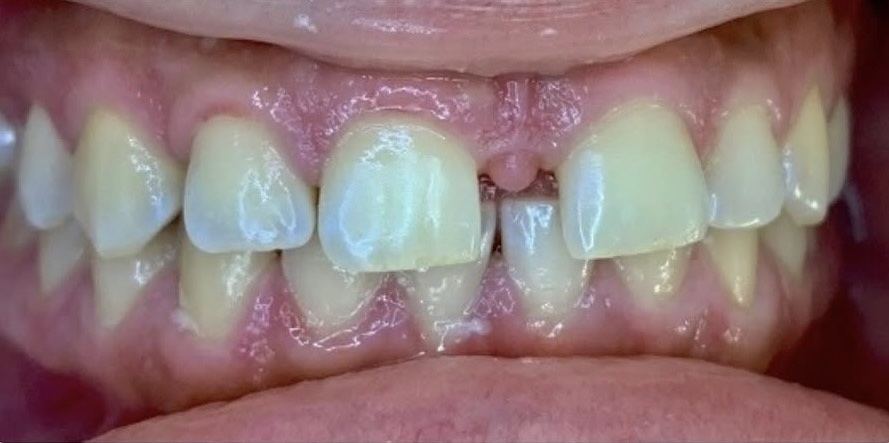
A 30-year-old female presented to the office for 2nd opinion, for either a crown or a veneer on a discolored front tooth, with a history of root canal treatment. Gave her the option to try whitening the tooth first using both laser whitening and chemical whitening. The patient was thrilled by the results. We did not need to do any further treatments.