• Monday – Thursday: 9:00am – 5:00pm
  • Friday – Sunday: Closed
English Spanish

Teeth Whitening in Vancouver, WA

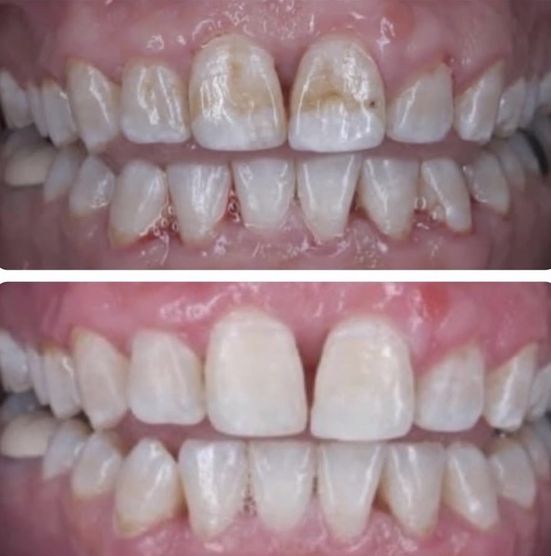
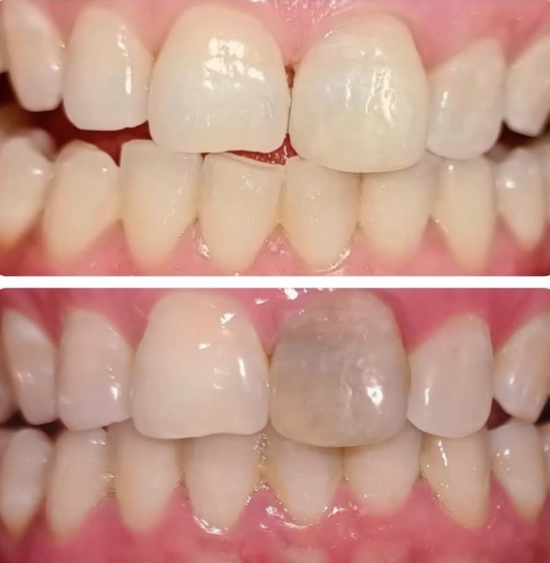
At our dental office, we understand why teeth whitening is sometimes a priority for our clients. Whether it’s preparing for an upcoming event or hoping to maintain a confident smile, teeth whitening is a popular and often necessary choice. We also recognize that certain tactics are needed to perform the procedure safely; too much bleaching can erode tooth enamel, causing more damage than it cures! That’s why we offer professionally-guided options for teeth whitening.

Our team has the tools and expertise to customize each approach, so clients will get their desired result without damaging their teeth in the process. Additionally, special follow-up visits allow us to keep track of the progress and answer any questions clients have during their treatment.

  • Whitening is accomplished by inserting plastic trays containing a bleaching gel over your teeth. 
  • Vancouver Dental Care whitening procedure usually requires two visits.
  • During the first visit, impressions are made of your teeth. 
  • These impressions will be used to fabricate your custom-made plastic trays.
  • During the second visit, we will check the trays for appropriate fit and provide you with the bleaching gel that is placed in the trays.
  • Then, you may wear the trays containing the bleaching gel at your convenience.

Ultimately, trusting our experienced team is the best way to ensure beautiful teeth and long-lasting oral health–giving you something to smile about!

Request an Appointment