• Monday – Thursday: 9:00am – 5:00pm
  • Friday – Sunday: Closed
English Spanish

Orthodontics in Vancouver, WA

Our dental office takes pride in providing top-notch orthodontic care for our patients. We utilize the latest technology to offer a quick and painless way to move teeth into proper alignment within a short amount of time. This treatment is offered to those who are looking for an efficient way to experience the full benefits of orthodontic care with minimal time. It also provides more comfort than traditional braces as it applies less force onto the teeth while they reposition; this reduces discomfort during and after treatment.

Our advanced orthodontic treatment can straighten teeth and correct misalignment in a fraction of the time compared to traditional braces. Using modern bracket design and specialized wires, this system gently moves teeth into their desired positions, with treatment often completed in just 6–12 months. Not only is it faster, but it is also more comfortable, affordable, and easier to clean than traditional braces. Additionally, clear or tooth-colored brackets provide a more discreet appearance than conventional metal braces. If you’re looking for a quick and effective way to achieve a straighter smile, this may be the perfect solution.

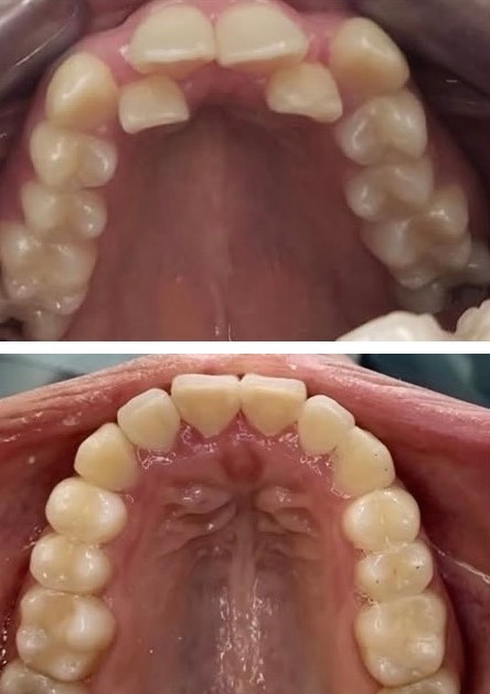
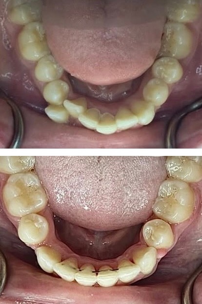
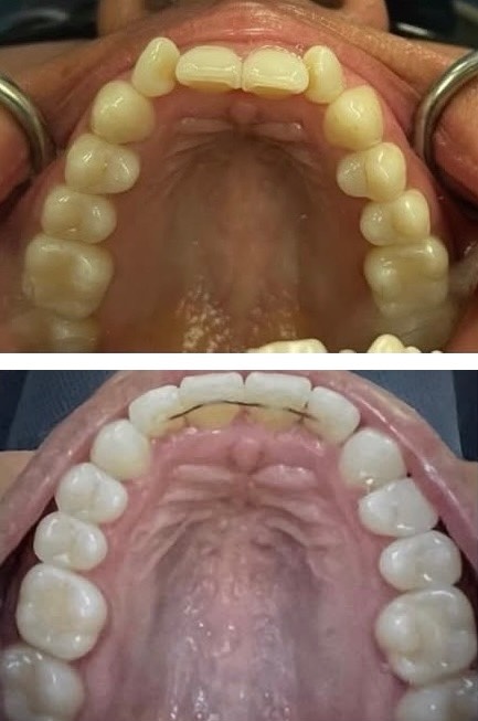
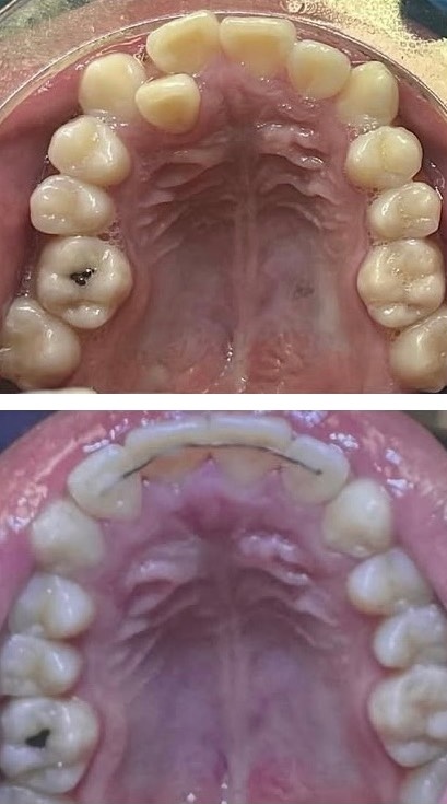
A lot can change in 120 days!

What are braces, and what are their benefits?

Since the early 1990s, innovative orthodontic technology has been developed to move teeth quickly, safely, and comfortably. This affordable treatment option, used worldwide for both children and adults, is available in clear or metal braces. Thanks to specialized bracket and wire designs, treatment can often be completed in a much shorter time compared to traditional methods, while also supporting the healthy realignment of bone around the teeth.

In addition, this approach can help address persistent gingivitis often found around crooked teeth by quickly straightening them. This is important because oral bacteria have been linked to a range of broader health concerns, including Alzheimer’s, cardiovascular disease, diabetes, colorectal cancer, and respiratory tract infections.

Our office is staffed by friendly, knowledgeable professionals who will guide you through the process and ensure that your smile receives the best quality care possible. With treatment times much shorter than traditional braces, you can begin to experience straighter teeth in no time! Our team looks forward to providing you with excellent orthodontic care at our office.

Request an Appointment