• Monday – Thursday: 9:00am – 5:00pm
  • Friday – Sunday: Closed
English Spanish

Dental Implants in Vancouver, WA

Finding the right dentist to perform any kind of dental implants is a key decision, and at our office, we understand the gravity of this choice. We strive to make sure our clients feel confident and comfortable in their decision by providing an array of dental implant options. Our implants are customized to meet individual needs and are designed for long-term stability.

From initial consultation all the way through to final fitting and follow-up care, our team ensures that each step is completed with precision, attention to detail, and professional expertise. What’s more, with highly trained technicians on staff and a caring approach to patient care that puts your well-being first, you can rest assured that you’ll be in good hands when opting for implants at our office.

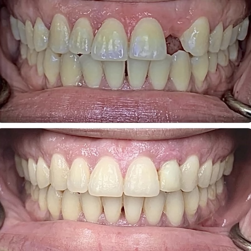
Using the most recent advances in dental implant technology, our doctors are able to place single-stage implants. These implants do not require a second procedure to uncover them, but do require a minimum of 8-10 weeks of healing time before artificial teeth are placed.

There are even situations where the implants can be placed at the same time as a tooth extraction, further minimizing the number of surgical procedures.

What Are Dental Implants?

A natural tooth consists of a root and a crown. If you compare natural teeth to implant-supported replacement teeth, you’ll see they have the same basic parts. Both have a crown (the visible part used to chew food). Both have a root that holds the tooth securely under the gum and is anchored into the jaw. The difference is that the implant is made of titanium – the same time-tested material used by surgeons for artificial joints. When you lose a tooth, you lose both the root and the crown. To replace the tooth, the Doctor first replaces the root with a small dental implant.

Time is allowed for the bone to heal and grow around the dental implant. The bone bonds with the titanium, creating a strong foundation for artificial teeth. A support post (abutment) is then placed on the implant, and a new replacement tooth (crown) is placed on top of the abutment.

When Are Dental Implants Placed?

Implants can be placed several months after extraction or immediately after the extraction of a tooth. This may involve a little more risk, but it simplifies the process—you won’t have to wait for another appointment to place the implant. When infection or other problems with the bone are present, immediate implant placement is not the best treatment.

If your tooth has been missing for some time, the adjacent support bone is likely to become thinner and shrink. This occurs because the root of the natural tooth has to be present to stimulate the bone. As much as one-third of your jaw’s thickness can be lost in the year following tooth extraction. If you are missing enough bone, you may benefit from having additional bone grafted into the area. This ensures the implant will be adequately supported when it is placed in the jaw.

How Long Will the Implants Last?

Implants usually last a long time. When patients are missing all of their teeth, long-term studies (more than 30 years) show an 80 to 90 percent success rate. For patients missing one or several teeth, recent studies show a success rate of greater than 95 percent, which compares favorably with other areas in the body that receive implant replacement (such as hips or knees). However, if one of your dental implants either doesn’t heal properly or loosens after a period of time, you may need to have it removed. After the site heals (or on occasion at the time of removal), another implant usually can be placed.

When Are the Replacement Teeth Attached to the Implant?

The replacement teeth are usually attached to the implant when adequate healing has occurred, and your jawbone is firmly fused to the implant. Depending on a variety of factors, it may be possible to begin this phase of your treatment immediately or shortly after implant placement. We will review the most appropriate treatment sequence and timing for your particular situation.

The number of appointments and the amount of time required for each appointment are different for each patient. No two cases are the same, and regardless of the number of teeth replaced, the work must be completed with great precision and attention to detail. If you are having only a few teeth replaced, as few as three short appointments may be required.

Potential Consequences of Teeth Loss

  • Problems with remaining teeth, including misalignment, drifting, loosening, and loss
  • Collapsed facial profile
  • Limited lip support
  • Skin wrinkling around the mouth
  • Distortion of other facial features
  • Jaw (TMJ or temporomandibular joint) pain, facial pain, and headaches
  • Difficulty speaking and communicating
  • Inadequate nutrition as a result of the inability to chew properly and painlessly
  • Sinus expansion

What Are the Potential Problems With Implants?

Although it is natural to be concerned about the pain that may be caused by these procedures, most patients do not experience severe or significant post-operative pain. Pain medication and antibiotics will be prescribed for you to make your recovery as easy as possible. Occasionally, some people develop post-operative infections that require additional antibiotic treatment. Even though great care is taken to place the implant precisely, occasionally adjacent teeth are injured in the placement process.

In addition, there is a chance that the nerve in the lower jaw, which provides sensation to your lower lip and chin, may be affected. If you are missing quite a lot of bone, it might be difficult to place an implant without infringing on the nerve space. Although we take great care to avoid this nerve, occasionally it is irritated during the procedure, resulting in tingling, numbness, or a complete lack of sensation in your lip, chin, or tongue. Usually, these altered sensations will resolve over time, but they can be permanent and/or painful. If you notify us of post-operative numbness as soon as possible, it will allow us to manage your care most appropriately.

When it comes time to find a dentist who specializes in implants, think of us: we provide skillful implant solutions along with the personalized attention that everyone deserves when undergoing a major dental procedure like implants. Let us be part of the journey to restoring your smile!

Request an Appointment