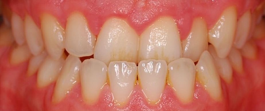
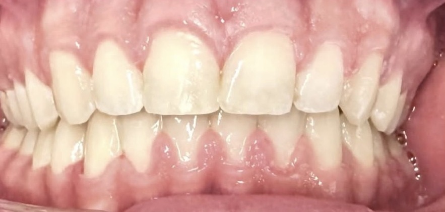
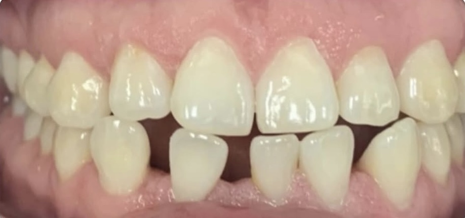
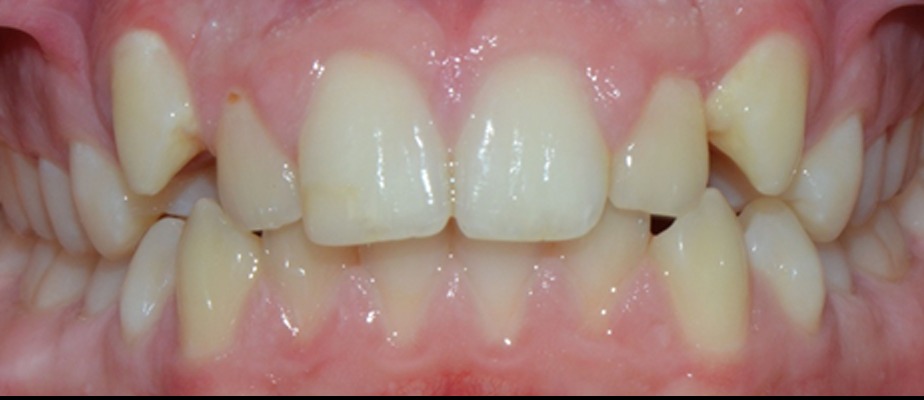
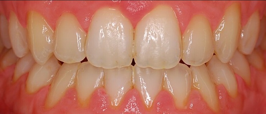
A young male presented to us with the chief complaint, 'I hate my smile'. Spacing square-shaped teeth and a deep bite, we were able to give the patient the comprehensive orthodontic treatment and bonded veneers.
Smile Design 5
Before
After
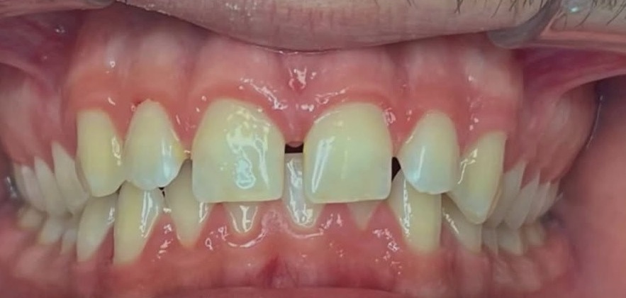
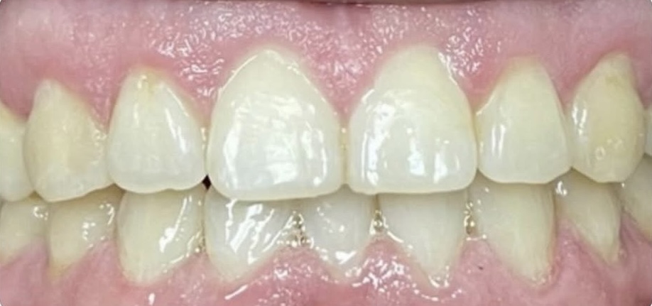
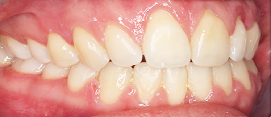
A 14-year-old female with an unpleasant smile, severe overjet, and spacing. We gave her her confidence back after comprehensive orthodontic treatment.
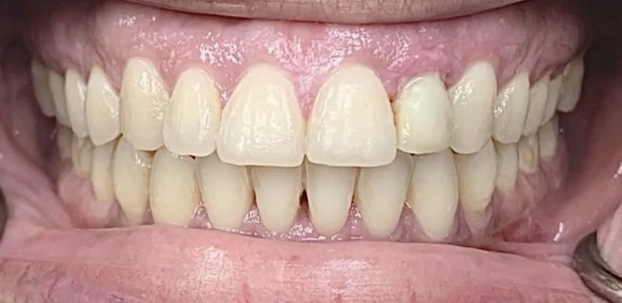
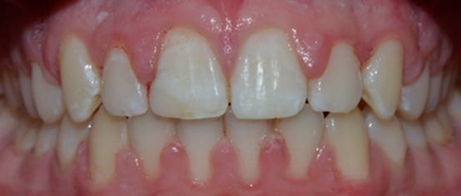
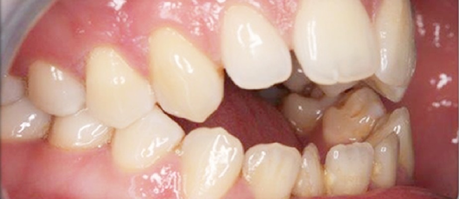
Single Tooth Implant
Before
After
A young female in her mid 30s presented to the office with a flipper restoring her missing front tooth. We were able to place a same-day implant with a temp crown. Happy patient who can smile again.
Braces 1
Before
After
Braces 2
Before
After
Braces 3
Before
After
Braces 4
Before
After
Spacing, missing lower anterior tooth with an open bite. Comprehensive orthodontic treatment with lingual permanent retainer. Restored the patient's smile and corrected the bite.
Braces 5
Before
After
Upper crowded and twisted teeth. Comprehensive orthodontic treatment was performed, including whitening. The patient was able to smile again with confidence.
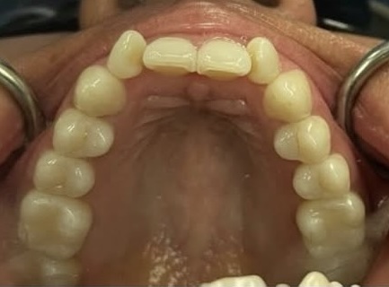
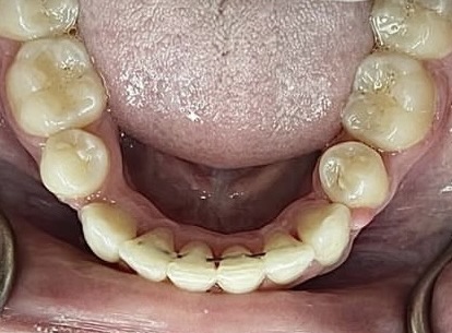
Braces 6
Before
After
Comprehensive orthodontic treatment was completed to align the teeth.
Braces 7
Before
After
An 18-year-old female chief compliant her tooth is sticking out. Comprehensive orthodontic treatment was completed, and the patient is happy.